お子様から大人まで 未来の笑顔をデザインする 矯正歯科治療
お悩みの方もまずは無料相談!
矯正無料相談実施中!
町田駅
徒歩
3
分
矯正歯科治療専門
コンセプト
心に寄り添い、
一つひとつを誠実に
町田KT矯正歯科は、矯正歯科治療専門の歯科医院です。
当院では、「心に寄り添い、一つひとつを誠実に」をコンセプトとし、
ご来院いただくすべての患者様に真摯に、そして丁寧にご対応させていただくことをこころがけています。
昨今、矯正歯科治療は大きな進歩を遂げ、治療期間の短縮やコスト面での選択肢が広がるなど、患者様にとって矯正治療がより身近な存在となってきたように感じます。
マウスピース矯正の登場により矯正治療を取り入れる歯科医院が増えてきましたが、本当の意味での良い矯正治療を提供できているクリニックの割合は減っているように思います。
当院は矯正専門のクリニックとして噛み合わせや口腔全体の健康を重視しつつ、美しい歯並びを実現することを大切にしています。そして、患者様一人ひとりがお持ちの「なりたい自分」に寄り添った治療をご提供いたします。
町田KT矯正歯科では、常に矯正歯科治療における本質を見定め、
ご来院いただく皆様に安心の矯正歯科治療をお届けすることをお約束いたします。
心に寄り添い、
一つひとつを誠実に
医院案内
| 月 | 火 | 水 | 木 | 金 | 土 | 日 | 祝 | |
|---|---|---|---|---|---|---|---|---|
| 10:00~12:30 | - | ⚫︎ | ⚫︎ | ⚫︎ | ⚫︎ | ★ | - | - |
| 14:00~18:00 | - | ⚫︎ | ⚫︎ | ⚫︎ | ⚫︎ | ★ | - | - |
★9:30~13:00/14:00~17:30
【日(月に1回)】9:30〜13:00/14:00〜17:00
【休診日】月/日/祝祭日
- 住所
- 〒194-0022 東京都町田市森野1丁目23−21 吉川町田ビル3F
- アクセス
- 小田急線町田駅西口徒歩3分
JR横浜線町田駅北口徒歩5分 - 診療内容
- 矯正歯科
矯正専門の歯科医師・スタッフが
こんなお悩みにお応えさせて
いただきます!
「歯並びの問題・コンプレックスを解消したい」
「自分に適した治療法が分からない」
「どれくら治療に時間がかかるんだろう」
「矯正歯科治療と聞くと痛そうなイメージがある」
「治療費用が高そう」
まずはあなたの
歯のお悩み・理想をお聞かせください!
町田KT矯正歯科が選ばれる 3つの特徴
FEATURE
Feature01
矯正歯科治療専門・
1,500症例以上の治療実績!
日本矯正歯科学会認定医が複数名在籍
当院では、矯正歯科治療専門の歯科医院として豊富
な治療実績を持ちます。
また日本矯正歯科学会認定医資格を持つ歯科医師が複数在籍しておりますので
ご安心ください。
難しい症例の場合も矯正歯科医複数で
治療に関するディスカッションを行った上、
患者様のご要望を伺いながら治療の指針を固めていきます。
Feature02
矯正歯科治療から
お子様の骨格の成長までもサポート!
歯科衛生士全員が
口腔筋機能療法(MFT)研修済
MFTと矯正器具でより良い咬合とより良い顔立ちへ!
歯並びや咬合は頬、唇、舌の筋肉のバランスに大きな影響を受けます。
MFTにより口腔周囲の筋肉のバランスを整えることで、より自然なかたちで歯並びや咬合を改善します。
お子様のうちに矯正歯科治療を行うことで歯並びの改善だけでなく、
顎が適切なバランスで成長されやすいように誘導することができます。
当院では、在籍している歯科衛生士全員が
口腔筋機能療法(MFT)の研修を受けており、
お口周りの筋肉の訓練指導までサポートし、
お子様の骨格の健やかな成長の補助、
後戻りしない綺麗な治療が可能です。
Feature03
女性歯科医師も在籍!
きめ細やかな診療とカウンセリング
矯正歯科治療は基本的には期間を要する治療
ですので
長いお付き合いになる医師であれば
話しやすい人なのか信頼できる人なのかがとても大切です。
当院は一人一人との関係をつくり上げていくことが医療にとって重要なことであると考えています。
患者様の中には、男性医師に抵抗がある方や、
お子様を診るのが得意な歯科医師が
良いという方もいらっしゃるかと思います。
当院では、女性歯科医師や子ども好きな
スタッフが在籍しておりますので、
ご要望のある際はお気軽にお申し付けください。
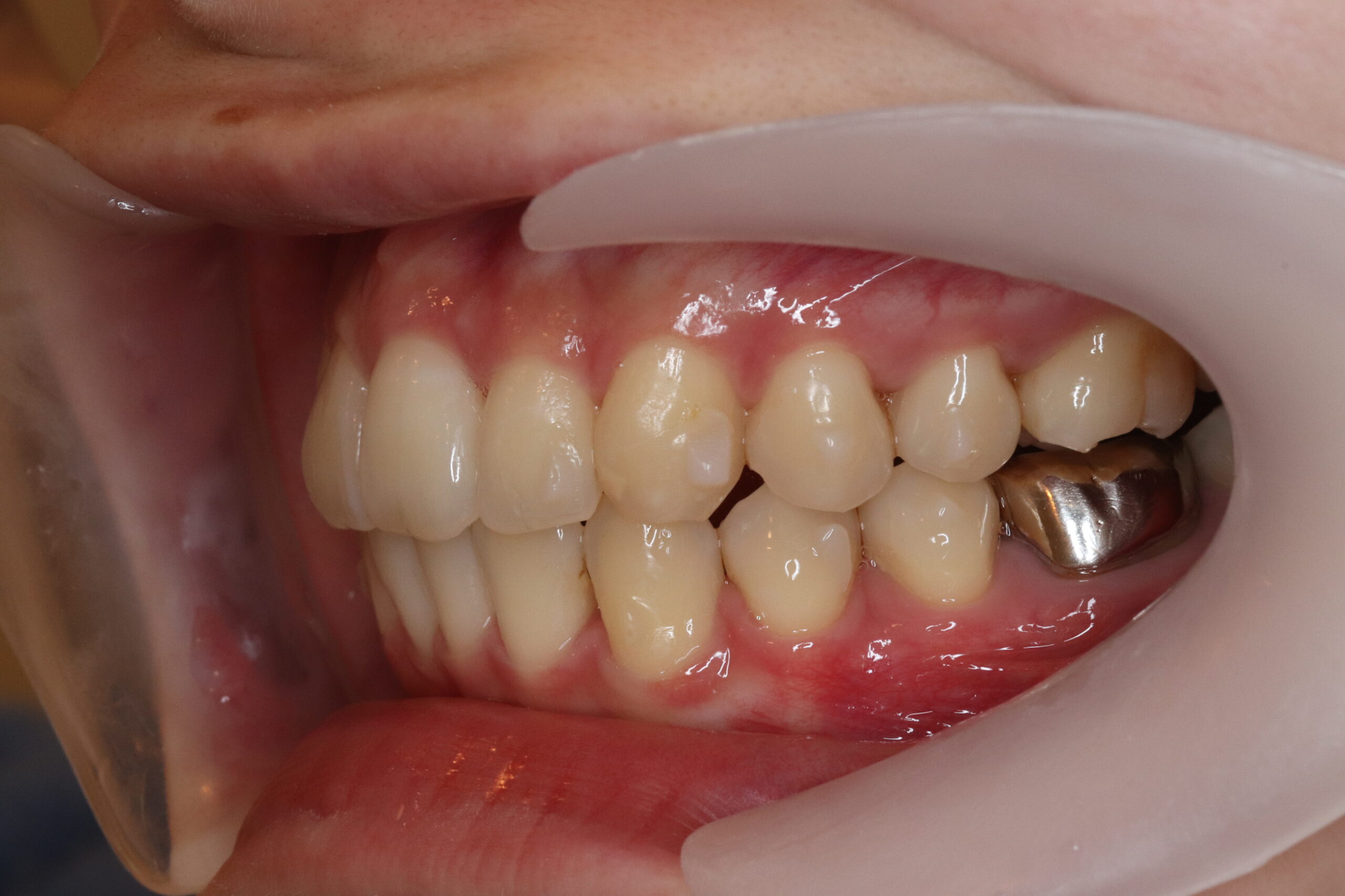
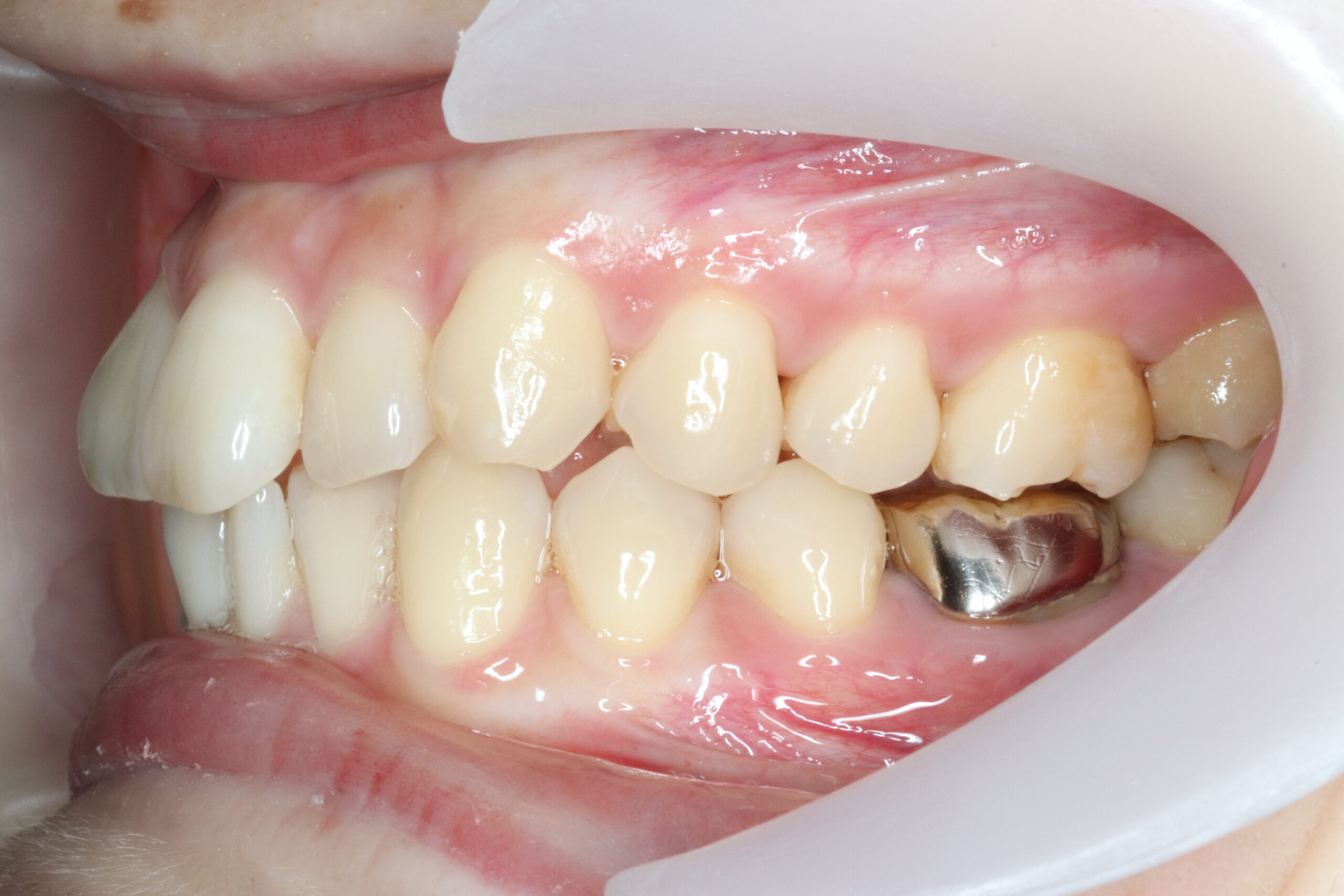
診療内容一覧
マウスピース矯正
透明で治療中も目立たない!
取り外し可能で衛生面もバッチリ!
マウスピース矯正とは、
透明なマウスピース型の矯正装置
を
用いて歯を動かす矯正法です。
治療中も目立たず、周りの人に
気付かれにくい
のが特徴です。
当院では、国内外で治療実績が
豊富な
マウスピース型矯正装置
「クリアコレクト」を
採用しております。
表側ワイヤー矯正
従来のものよりも目立ちにくい
ホワイトブラケットとホワイトワイヤー採用。
費用負担を抑えて矯正歯科治療を
歯の表側(唇側)にブラケットという
装置を装着し、間にワイヤーを通して適正な力を歯に徐々に加えていくことで歯を動かしていく矯正法です。
一般的に矯正歯科治療と聞いて、
多くの方は
一番に金属のワイヤーに
よる矯正法がイメージ
されるのでは
ないでしょうか。
現在、白いブラケット、白いワイヤーによる
目立たない表側ワイヤー矯正も登場し、
当院でもこちらをメインに治療を行っております。
裏側(舌側)ワイヤー矯正
目立ちにくいワイヤー矯正
※当院では現在、裏側(舌側)ワイヤー矯正は取り扱いしておりません。
裏側(舌側)ワイヤー矯正とは、歯の裏側に
矯正器具を
装着し、徐々に歯を動かすことで歯を矯正する
矯正歯科治療です。
表側ワイヤー矯正と異なり、歯の裏側に
矯正装置を
装着するため、矯正器具が目立ちづらく、
治療中も周りの人に
気付かれにくいのが特徴です。
子どもの矯正
(小児矯正)
お子様の歯の未来を考える!
大人になってから困らない理想の歯並びへ
小児矯正とは、お子様の歯に対する
矯正歯科治療であり、永久歯が
生え揃う前の
お子様を対象として治療を行います。
小児矯正のポイントとして、歯並びの改善に加えて、まだ発達途中にあたる顎の骨も動かすことが可能であり、
顎の成長をサポートすると共に
大きさや将来の歯並びおよび
噛み合わせのバランスをコントロール
することが期待できます。

